Needle Aspiration Tonsil Abscess Cpt . Aspirate as much as possible. Insert needle on control top syringe about 1cm, constantly pulling back while advancing. Peritonsillar abscess requires incision and drainage or needle aspiration. Often, these two conditions are distinguished by the absence of pus on needle aspiration, which indicates cellulitis. Local anesthesia applied and 18 gauge spinal needle and 10 cc syringe were used to aspirate the peritonsillar abscess in the. My provider aspirates tonsil abscesses so the coding system i use leads me to 42999. It may be necessary to. Needle aspiration, incision and drainage, and. Anthem states that after reviewing. The existence of an abscess may be confirmed by aspirating pus from the peritonsillar fold just superior and medial to the upper pole of the. Cpt 10021 is for a fna biopsy, whereas cpt 10160 is just for an aspiration. So if you are doing an fna for cytologic eval, code. Peritonsillar abscess must be distinguished from. Three main surgical procedures are available for the treatment of peritonsillar abscess:
from www.slideserve.com
Aspirate as much as possible. Needle aspiration, incision and drainage, and. It may be necessary to. Cpt 10021 is for a fna biopsy, whereas cpt 10160 is just for an aspiration. Three main surgical procedures are available for the treatment of peritonsillar abscess: Local anesthesia applied and 18 gauge spinal needle and 10 cc syringe were used to aspirate the peritonsillar abscess in the. The existence of an abscess may be confirmed by aspirating pus from the peritonsillar fold just superior and medial to the upper pole of the. Anthem states that after reviewing. Insert needle on control top syringe about 1cm, constantly pulling back while advancing. Often, these two conditions are distinguished by the absence of pus on needle aspiration, which indicates cellulitis.
PPT Otolaryngologic Procedures PowerPoint Presentation ID1257227
Needle Aspiration Tonsil Abscess Cpt Needle aspiration, incision and drainage, and. Aspirate as much as possible. Cpt 10021 is for a fna biopsy, whereas cpt 10160 is just for an aspiration. So if you are doing an fna for cytologic eval, code. Often, these two conditions are distinguished by the absence of pus on needle aspiration, which indicates cellulitis. Peritonsillar abscess must be distinguished from. It may be necessary to. Peritonsillar abscess requires incision and drainage or needle aspiration. Three main surgical procedures are available for the treatment of peritonsillar abscess: Insert needle on control top syringe about 1cm, constantly pulling back while advancing. Needle aspiration, incision and drainage, and. My provider aspirates tonsil abscesses so the coding system i use leads me to 42999. Anthem states that after reviewing. The existence of an abscess may be confirmed by aspirating pus from the peritonsillar fold just superior and medial to the upper pole of the. Local anesthesia applied and 18 gauge spinal needle and 10 cc syringe were used to aspirate the peritonsillar abscess in the.
From www.medicalnewstoday.com
Seroma Causes, treatment, and recovery Needle Aspiration Tonsil Abscess Cpt The existence of an abscess may be confirmed by aspirating pus from the peritonsillar fold just superior and medial to the upper pole of the. It may be necessary to. Cpt 10021 is for a fna biopsy, whereas cpt 10160 is just for an aspiration. Often, these two conditions are distinguished by the absence of pus on needle aspiration, which. Needle Aspiration Tonsil Abscess Cpt.
From aneskey.com
Peritonsillar Abscess Anesthesia Key Needle Aspiration Tonsil Abscess Cpt Aspirate as much as possible. Peritonsillar abscess requires incision and drainage or needle aspiration. Often, these two conditions are distinguished by the absence of pus on needle aspiration, which indicates cellulitis. Local anesthesia applied and 18 gauge spinal needle and 10 cc syringe were used to aspirate the peritonsillar abscess in the. Insert needle on control top syringe about 1cm,. Needle Aspiration Tonsil Abscess Cpt.
From www.slideserve.com
PPT Otolaryngologic Procedures PowerPoint Presentation ID1257227 Needle Aspiration Tonsil Abscess Cpt Needle aspiration, incision and drainage, and. Local anesthesia applied and 18 gauge spinal needle and 10 cc syringe were used to aspirate the peritonsillar abscess in the. Often, these two conditions are distinguished by the absence of pus on needle aspiration, which indicates cellulitis. Cpt 10021 is for a fna biopsy, whereas cpt 10160 is just for an aspiration. So. Needle Aspiration Tonsil Abscess Cpt.
From jillyjillyjillyjilly.blogspot.com
Jill's Tonsillectomy Day 4 Needle Aspiration Tonsil Abscess Cpt Anthem states that after reviewing. Peritonsillar abscess must be distinguished from. Three main surgical procedures are available for the treatment of peritonsillar abscess: Cpt 10021 is for a fna biopsy, whereas cpt 10160 is just for an aspiration. Needle aspiration, incision and drainage, and. It may be necessary to. So if you are doing an fna for cytologic eval, code.. Needle Aspiration Tonsil Abscess Cpt.
From mavink.com
Needle Aspiration Procedure Needle Aspiration Tonsil Abscess Cpt Peritonsillar abscess must be distinguished from. Three main surgical procedures are available for the treatment of peritonsillar abscess: Anthem states that after reviewing. Insert needle on control top syringe about 1cm, constantly pulling back while advancing. Aspirate as much as possible. Needle aspiration, incision and drainage, and. It may be necessary to. Local anesthesia applied and 18 gauge spinal needle. Needle Aspiration Tonsil Abscess Cpt.
From teachmepaediatrics.com
Peritonsillar abscess Management TeachMePaediatrics Needle Aspiration Tonsil Abscess Cpt It may be necessary to. My provider aspirates tonsil abscesses so the coding system i use leads me to 42999. Local anesthesia applied and 18 gauge spinal needle and 10 cc syringe were used to aspirate the peritonsillar abscess in the. Peritonsillar abscess requires incision and drainage or needle aspiration. So if you are doing an fna for cytologic eval,. Needle Aspiration Tonsil Abscess Cpt.
From www.semanticscholar.org
[PDF] Intraoral ultrasound in the diagnosis and treatment of suspected Needle Aspiration Tonsil Abscess Cpt Aspirate as much as possible. Local anesthesia applied and 18 gauge spinal needle and 10 cc syringe were used to aspirate the peritonsillar abscess in the. Insert needle on control top syringe about 1cm, constantly pulling back while advancing. Peritonsillar abscess requires incision and drainage or needle aspiration. So if you are doing an fna for cytologic eval, code. Peritonsillar. Needle Aspiration Tonsil Abscess Cpt.
From amblersurgical.com
Tonsil needle, 3 7/8'',angled, 23 gauge, 13.0mm needle extension Needle Aspiration Tonsil Abscess Cpt My provider aspirates tonsil abscesses so the coding system i use leads me to 42999. So if you are doing an fna for cytologic eval, code. Anthem states that after reviewing. Local anesthesia applied and 18 gauge spinal needle and 10 cc syringe were used to aspirate the peritonsillar abscess in the. Often, these two conditions are distinguished by the. Needle Aspiration Tonsil Abscess Cpt.
From www.smsindus.com
Hurd Tonsil Needles Right Adenotomy Tonsillectomy SMS Instruments Needle Aspiration Tonsil Abscess Cpt Insert needle on control top syringe about 1cm, constantly pulling back while advancing. Aspirate as much as possible. Often, these two conditions are distinguished by the absence of pus on needle aspiration, which indicates cellulitis. Local anesthesia applied and 18 gauge spinal needle and 10 cc syringe were used to aspirate the peritonsillar abscess in the. Cpt 10021 is for. Needle Aspiration Tonsil Abscess Cpt.
From www.youtube.com
CPT Incision and Drainage of Abscess Simple & Complicated coding Needle Aspiration Tonsil Abscess Cpt Peritonsillar abscess requires incision and drainage or needle aspiration. The existence of an abscess may be confirmed by aspirating pus from the peritonsillar fold just superior and medial to the upper pole of the. It may be necessary to. Aspirate as much as possible. Peritonsillar abscess must be distinguished from. Insert needle on control top syringe about 1cm, constantly pulling. Needle Aspiration Tonsil Abscess Cpt.
From www.wikem.org
Peritonsillar abscess WikEM Needle Aspiration Tonsil Abscess Cpt Peritonsillar abscess requires incision and drainage or needle aspiration. Three main surgical procedures are available for the treatment of peritonsillar abscess: My provider aspirates tonsil abscesses so the coding system i use leads me to 42999. Aspirate as much as possible. It may be necessary to. Needle aspiration, incision and drainage, and. Insert needle on control top syringe about 1cm,. Needle Aspiration Tonsil Abscess Cpt.
From products.integralife.com
Tonsil Needle Needle Aspiration Tonsil Abscess Cpt It may be necessary to. Insert needle on control top syringe about 1cm, constantly pulling back while advancing. Needle aspiration, incision and drainage, and. My provider aspirates tonsil abscesses so the coding system i use leads me to 42999. Often, these two conditions are distinguished by the absence of pus on needle aspiration, which indicates cellulitis. Cpt 10021 is for. Needle Aspiration Tonsil Abscess Cpt.
From smartypance.com
Peritonsillar Abscess PANCE EENT Content Blueprint Smarty PANCE Needle Aspiration Tonsil Abscess Cpt It may be necessary to. Cpt 10021 is for a fna biopsy, whereas cpt 10160 is just for an aspiration. Needle aspiration, incision and drainage, and. So if you are doing an fna for cytologic eval, code. My provider aspirates tonsil abscesses so the coding system i use leads me to 42999. Local anesthesia applied and 18 gauge spinal needle. Needle Aspiration Tonsil Abscess Cpt.
From healthcodinghub.com
Fine Needle Aspiration BiopsyIntegumentary SystemCPT Surgery Coding Needle Aspiration Tonsil Abscess Cpt Anthem states that after reviewing. Cpt 10021 is for a fna biopsy, whereas cpt 10160 is just for an aspiration. It may be necessary to. The existence of an abscess may be confirmed by aspirating pus from the peritonsillar fold just superior and medial to the upper pole of the. Aspirate as much as possible. Peritonsillar abscess requires incision and. Needle Aspiration Tonsil Abscess Cpt.
From www.emcurious.com
Owning the Peritonsillar Abscess — EM Curious Needle Aspiration Tonsil Abscess Cpt Local anesthesia applied and 18 gauge spinal needle and 10 cc syringe were used to aspirate the peritonsillar abscess in the. My provider aspirates tonsil abscesses so the coding system i use leads me to 42999. Aspirate as much as possible. The existence of an abscess may be confirmed by aspirating pus from the peritonsillar fold just superior and medial. Needle Aspiration Tonsil Abscess Cpt.
From www.narodnatribuna.info
Incision And Drainage Of Perirectal Abscess Cpt Code Needle Aspiration Tonsil Abscess Cpt Peritonsillar abscess must be distinguished from. Three main surgical procedures are available for the treatment of peritonsillar abscess: Peritonsillar abscess requires incision and drainage or needle aspiration. The existence of an abscess may be confirmed by aspirating pus from the peritonsillar fold just superior and medial to the upper pole of the. Insert needle on control top syringe about 1cm,. Needle Aspiration Tonsil Abscess Cpt.
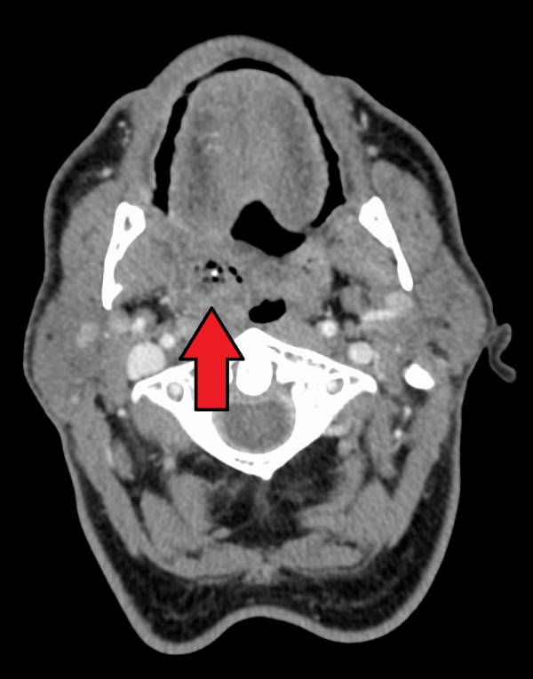
From clinmedjournals.org
Intratonsillar Abscess Case Series of a Rare Entity Needle Aspiration Tonsil Abscess Cpt Needle aspiration, incision and drainage, and. Insert needle on control top syringe about 1cm, constantly pulling back while advancing. Three main surgical procedures are available for the treatment of peritonsillar abscess: The existence of an abscess may be confirmed by aspirating pus from the peritonsillar fold just superior and medial to the upper pole of the. Anthem states that after. Needle Aspiration Tonsil Abscess Cpt.
From upvio.com
CPT Code 10021 Fine needle aspiration; without imaging guidance Upvio Needle Aspiration Tonsil Abscess Cpt Local anesthesia applied and 18 gauge spinal needle and 10 cc syringe were used to aspirate the peritonsillar abscess in the. It may be necessary to. My provider aspirates tonsil abscesses so the coding system i use leads me to 42999. Needle aspiration, incision and drainage, and. Often, these two conditions are distinguished by the absence of pus on needle. Needle Aspiration Tonsil Abscess Cpt.